• 中文标识 中文

一些人,一些业务,一些老朋友,电话:13924260120

赛国生物公司logo
  • 020-29828232
  • 首页
  • 产品中心
    品牌中心Procell/普诺赛ECOTOP/亿涛Bioss/博奥森NEST/耐思Solarbio/索莱宝NCM/新赛美Aomabio/奥玛GLPBIOABWExcellBio/依科赛genefistNovoprotein/近岸蛋白中科都菱Elabscience/伊莱瑞特CountstarBioFroxxBiosharp/白鲨ABCONE/昂一GENFINE/济凡Kirgen/科进MarienfeldSRITRANG/施睿康甄选LABSELECT豫顺/yushun淼灵质粒SIGMAFOUR ESLeica/徕卡CISTRO/吉格生物Cellpro/赛普大龙兴创/DragonLab赛默飞/ThermoFisher元素聚焦(ELFO)其他品牌 试剂分子生物学试剂常用生化试剂蛋白质/抗原/多肽/酶细胞培养试剂WB实验相关试剂非常规试剂检测类试剂bioss试剂小分子化合物耗材常用耗材PCR耗材吸头等移液系列耗材手套口罩等防护类细胞培养系列耗材冷冻类耗材离心管系列血球计数板仪器细胞培养与分析仪器实验室常规仪器设备分子生物实验仪器移液器(Pipette)抗体类一抗二抗试剂盒蛋白因子
  • 生物试剂
    • 分子生物学试剂
    • 常用生化试剂
    • 蛋白质/抗原/多肽/酶
    • 细胞培养试剂
    • WB实验相关试剂
    • 非常规试剂
    • 检测类试剂
    • bioss试剂
    • 小分子化合物
  • 实验耗材
    • 常用耗材
    • PCR耗材
    • 吸头等移液系列耗材
    • 手套口罩等防护类
    • 细胞培养系列耗材
    • 冷冻类耗材
    • 离心管系列
    • 血球计数板
  • 抗体蛋白类
    • 一抗
    • 二抗
    • 试剂盒
    • 蛋白因子
  • 仪器设备
    • 细胞培养与分析仪器
    • 实验室常规仪器设备
    • 分子生物实验仪器
    • 移液器(Pipette)
  • 新闻资讯
  • 走进赛国生物
    • 公司简介
    • 技术服务
    • 产品中心
    • 人才招聘
    • 在线订购
    • 联系我们
  • 首页 > 抗体类 > 一抗 > 活化半胱胺酸蛋白酶蛋白-3抗体 | RabbitAnti-Caspase-3 antibody
活化半胱胺酸蛋白酶蛋白-3抗体  |  RabbitAnti-Caspase-3 antibody

产品细节图:

  • 活化半胱胺酸蛋白酶蛋白-3抗体  |  RabbitAnti-Caspase-3 antibody

活化半胱胺酸蛋白酶蛋白-3抗体 | RabbitAnti-Caspase-3 antibody

品牌:Bioss/博奥森 | 货号:bs-0081R
  • 所属大类 : 抗体类
  • 所属小类 : 一抗
  • 品牌 : Bioss/博奥森
  • 规格 : 50ul
  • 原价 : ¥1098.00
  • 促销价 : ¥1098.00
  • -
    +

    店铺活动

    PBS片剂

    • 产品介绍
    • 技术文章
    • 产品说明书
    • 相关论文
    • 咨询|评价
    产品编号 bs-0081R
    英文名称 Caspase-3
    中文名称 活化半胱胺酸蛋白酶蛋白-3抗体
    别    名 Caspase-3 subunit p17; cleaved Caspase 3; cleaved Caspase-3; APOPAIN; CASP3; Caspase 3 apoptosis related cysteine protease; Caspase3; CPP32; CPP32B; Cysteine protease CPP32; Human cysteine protease CPP32 isoform alpha mRNA complete cds; PARP cleavage protease; SCA 1; SCA1; SREBP cleavage activity 1; Yama; CASP3_HUMAN; Caspase-3; CASP-3; Apopain; Protein Yama; SREBP cleavage activity 1; SCA-1.  
    Specific References  (117)     |     bs-0081R has been referenced in 117 publications.
    [IF=9.91] Li, Ting, et al. "Proliferation of parenchymal microglia is the main source of microgliosis after ischaemic stroke." Brain (2013): awt287.  Mouse.  
    PubMed:24154617
    [IF=8.355] Chen Z et al. Enzyme-powered Janus nanomotors launched from intratumoral depots to address drug delivery barriers. Chemical Engineering Journal,2019 375, 122109.   IHC ;  Mouse.  
    PubMed:doi:10.1016/j.cej.2019.122109
    [IF=7.6] Teng, I., et al. "Phospholipid-functionalized mesoporous silica nanocarriers for selective photodynamic therapy of cancer." Biomaterials (2013).  WB ;  Mouse.  
    PubMed:23810081
    [IF=7.05] He, Nan, et al. "Tumor pH-responsive Release of Drug-conjugated Micelles from Fiber Fragments for Intratumoral Chemotherapy." ACS Applied Materials & Interfaces (2017).  other ;  
    PubMed:28876891
    [IF=6.375] Zhou,et al.CXCR4 antagonist AMD3100 enhances the response of MDA-MB-231 triple-negative breast cancer cells to ionizing radiation.(2018) Cancer Letters. 418:196-203.  IHC-P + WB ;  Mouse.  
    PubMed:29317253
    [IF=6.217] Wang L et al. Zoledronic acid inhibits the growth of cancer stem cell derived from cervical cancer cell by attenuating their stemness phenotype and inducing apoptosis and cell cycle arrest through the Erk1/2 and Akt pathways. J Exp Clin Cancer Res. 2019 Feb 21;38(1):93.  WB ;  Mouse.  
    PubMed:30791957
    [IF=6.01] Chen, Zhoujiang, et al. "Tunable conjugation densities of camptothecin on hyaluronic acid for tumor targeting and reduction-triggered release." Acta Biomaterialia (2016).  IHC-P ;  Mouse.  
    PubMed:27424081
    [IF=5.47] Pan, Bo, et al. "c-Abl Tyrosine Kinase Mediates Neurotoxic Prion Peptide-Induced Neuronal Apoptosis via Regulating Mitochondrial Homeostasis." Molecular Neurobiology (2014): 1-15.  Rat.  
    PubMed:24510275
    [IF=5.23] Zhao, Yong, et al. "Hydrogen Sulfide and/or Ammonia Reduces Spermatozoa Motility through AMPK/AKT Related Pathways." Scientific Reports 6 (2016): 37884.  WB ;  Pig.  
    PubMed:27883089
    [IF=5.154] Wu et al. Roles of Pannexin-1 Channels in Inflammatory Response through the TLRs/NF-Kappa B Signaling Pathway Following Experimental Subarachnoid Hemorrhage in Rats. (2017) Front.Mol.Neurosc. 10:175  WB ;  Rat.  
    PubMed:28634441
    [IF=5.1] Wang, Caixia, et al. "Oral 4-(N)-stearoyl gemcitabine nanoparticles inhibit tumor growth in mouse models." Oncotarget 8.52 (2017): 89876-89886.  IHC-P ;  Mouse.  
    PubMed:29163795
    [IF=5.1] Wang, Caixia, et al. "Oral 4-(N)-stearoyl gemcitabine nanoparticles inhibit tumor growth in mouse models." Oncotarget 8.52 (2017): 89876-89886.  IHC-P ;  Mouse.  
    PubMed:29163795
    [IF=5.047] Chen Z et al. Synergistic antitumor efficacy of hybrid micelles with mitochondrial targeting and stimuli-responsive drug release. Journal of Materials Chemistry B.2019.  IHC-P ;  Human.  
    PubMed: doi:10.1039/c8tb02843e 
    [IF=5] Li, Bo, et al. "Long noncoding RNA CCAT1 functions as a ceRNA to antagonize the effect of miR-410 on the down-regulation of ITPKB in human HCT-116 and HCT-8 cells." Oncotarget 8.54 (2017): 92855.  WB ;  Human.  
    PubMed:29190961
    [IF=4.94] Kubatka, Peter, et al. "Antineoplastic effects of clove buds (Syzygium aromaticum L.) in the model of breast carcinoma." Journal of Cellular and Molecular Medicine (2017).  IHC-P ;  Rat.  
    PubMed:28524540
    [IF=4.75] Rosenzweig, Derek H., Sing J. Ou, and Thomas M. Quinn. ʺP38 mitogen‐activated protein kinase promotes dedifferentiation of primary articular chondrocytes in monolayer culture.ʺ Journal of Cellular and Molecular Medicine (2013)  WB ;  Bovine.  
    PubMed:23480786
    [IF=4.525] Truffi,et al.Inhibition of Fibroblast Activation Protein Restores a Balanced Extracellular Matrix and Reduces Fibrosis in Crohn's Disease Strictures Ex Vivo.(2018) Inflammatory Bowel Diseases. 24:332-345.  IF(IHC-F) ;  Human.  
    PubMed:29361086
    [IF=4.38] Ma, Xiangyi, et al. "DT390-triTMTP1, a novel fusion protein of diphtheria toxin with tandem repeat TMTP1 peptide, preferentially targets metastatic tumors." Molecular pharmaceutics 10.1 (2013): 115-126.  IHC-P ;  Human.  
    PubMed:23198829
    [IF=4.28] Zhang, Weidong, et al. "Decrease in male mouse fertility by hydrogen sulfide and/or ammonia can Be inheritable." Chemosphere (2017).  IHC-P ;  Mouse.  
    PubMed:29202267
    [IF=4.26] Rosenzweig, Derek H., et al. "Mechanical injury of bovine cartilage explants induces depth-dependent, transient changes in MAP kinase activity associated with apoptosis." Osteoarthritis and Cartilage (2012).  WB ;  Bovine.  
    PubMed:22935788
    [IF=4.254] Gao L et al. Restoration of E-cadherin by PPBICA protects against cisplatin-induced acute kidney injury by attenuating inflammation and programmed cell death. Lab Invest. 2018 Jul;98(7):911-923.   WB ;  Mouse.  
    PubMed:29581579
    [IF=4.22] Sondag, Gregory R., et al. "Osteoactivin Induces Transdifferentiation of C2C12 Myoblasts into Osteoblasts." Journal of Cellular Physiology (2013).  Mouse.  
    PubMed:24265122
    [IF=4.2] Tian, A., et al. "Nanoscale TiO 2 nanotubes govern the biological behavior of human glioma and osteosarcoma cells." International Journal of Nanomedicine10 (2015): 2377-2389.  Human.  
    PubMed:25848261
    [IF=4.12] Wang et al. Kukoamine A inhibits human glioblastoma cell growth and migration through apoptosis induction and epithelial-mesenchymal transition attenuation. (2016) Sci.Rep. 6:36543  WB ;  Human.  
    PubMed:27824118
    [IF=3.974] Liao J et al. Inhibition of Caspase-1-dependent pyroptosis attenuates copper-induced apoptosis in chicken hepatocytes.Ecotoxicol Environ Saf. 2019 Jun 15;174:110-119.  WB ;  Chicken.  
    PubMed:30822667
    [IF=3.95] Wang, Gang, et al. "Inhibition of hydrogen sulfide synthesis provides protection for severe acute pancreatitis rats via apoptosis pathway." Apoptosis (2013): 1-15.  IHC-P ;  Rat.  
    PubMed:23054084
    [IF=3.923] Song LL et al. TGF-β and HSP70 profiles during transformation of yak hair follicles from the anagen to catagen stage. J Cell Physiol. 2019 Feb 5.   WB ;  Yak.  
    PubMed:30723905
    [IF=3.92] Wei, Gang, et al. "β-Asarone inhibits neuronal apoptosis via the CaMKII/CREB/Bcl-2 signaling pathway in an in vitro model and AβPP/PS1 mice." Journal of Alzheimer's Disease 33.3 (2013): 863-880.  IF(ICC) ;  Mouse.  
    PubMed:23064259
    [IF=3.909] Zhu B et al. The hepatoprotective effect of polysaccharides from Pleurotus ostreatus on carbon tetrachloride-induced acute liver injury rats.Int J Biol Macromol. 2019 Jun 15;131:1-9.   IHF ;  Rat.  
    PubMed:30851331
    [IF=3.85] Wang, Yandi, et al. "Regulation of steroid hormones and energy status with cysteamine and its effect on spermatogenesis." Toxicology and Applied Pharmacology (2016).  IHC-P ;  Sheep.  
    PubMed:27815134
    [IF=3.84] Kubatka, Peter, et al. "Fruit peel polyphenols demonstrate substantial anti-tumour effects in the model of breast cancer." European Journal of Nutrition(2015): 1-11.  IHC-P ;  Rat.  
    PubMed:25930965
    [IF=3.83] Yang et al. MicroRNA-145 Increases the Apoptosis of Activated Hepatic Stellate Cells Induced by TRAIL through NF-κB Signaling Pathway. (2018) Front.Pharmacol. 8:980  WB ;  Mouse.  
    PubMed:29375381
    [IF=3.82] Clark, Andrea J., et al. "WO3/Pt nanoparticles are NADPH oxidase biomimetics that mimic effector cells in vitro and in vivo." Nanotechnology27.6 (2015): 065101.  
    PubMed:26683660
    [IF=3.79] Luo, Xiaoming, et al. "Antimetastasis and antitumor efficacy promoted by sequential release of vascular disrupting and chemotherapeutic agents from electrospun fibers." International Journal of Pharmaceutics (2014).  IHC-P ;  Mouse.  
    PubMed:25218185
    [IF=3.687] Kubatka P et al. Anticancer Activities of Thymus vulgaris L. in Experimental Breast Carcinoma in Vivo and in Vitro. Int J Mol Sci. 2019 Apr 9;20(7). pii: E1749.  IHC-P ;  Rat&Mouse.  
    PubMed:30970626
    [IF=3.68] Xiao, Ke, et al. "The role of visfatin on the regulation of inflammation and apoptosis in the spleen of LPS-treated rats." Cell and Tissue Research (2014).  IHC-P ;  Rat.  
    PubMed:25358398
    [IF=3.53] Fang C, Zhang J, Qi D, Fan X, Luo J, et al. (2014) Evodiamine Induces G2/M Arrest and Apoptosis via Mitochondrial and Endoplasmic Reticulum Pathways in H446 and H1688 Human Small-Cell Lung Cancer Cells. PLoS ONE 9(12): e115204.   WB ;  Human.  
    PubMed:25506932
    [IF=3.52] Chu et al. Newcastle Disease Virus V Protein Inhibits Cell Apoptosis and Promotes Viral Replication by Targeting CacyBP/SIP. (2018) Front.Cell.Infect.Microbiol. 8:304  WB ;  
    PubMed:30234028
    [IF=3.47] Kubatka, Peter, et al. "Oregano demonstrates distinct tumour-suppressive effects in the breast carcinoma model." European Journal of Nutrition (2016): 1-14.  IHC-P ;  Rat.  
    PubMed:26907089
    [IF=3.448] Xu B et al. Excessive mechanical stress induces chondrocyte apoptosis through TRPV4 in an anteriorcruciate ligament-transected rat osteoarthritis model. Life Sci. 2019 Jul 1;228:158-166.   WB ;  Rat.  
    PubMed:31055086
    [IF=3.412] Chen S et al. Anthocyanins from Lycium ruthenicum Murr. ameliorated D-galactose-induced memory impairment, oxidative stress, and neuroinflammation in adult rats.J Agric Food Chem. 2019 Mar 20;67(11):3140-3149.  WB&IHC-P ;  Rat.  
    PubMed:30813721
    [IF=3.4] Gao, Hui, et al. "Hispidulin induces mitochondrial apoptosis in acute myeloid leukemia cells by targeting extracellular matrix metalloproteinase inducer."American Journal of Translational Research 8.2 (2016): 1115-1132  WB ;  Human.  
    PubMed:27158398
    [IF=3.23] Wang, Yu, et al. "Ibutilide treatment protects against ER stress induced apoptosis by regulating calumenin expression in tunicamycin treated cardiomyocytes." PloS one 12.4 (2017): e0173469.  WB ;  Rat.  
    PubMed:28399139
    [IF=3.17] Liu, Yang, et al. "Amelioration of Stroke-Induced Neurological Deficiency by Lyophilized Powder of Catapol and Puerarin." International Journal of Biological Sciences 10.4 (2014): 448-456.  WB ;  Mouse.  
    PubMed:24719562
    [IF=3.156] Andharia,et al.Electrophysiological properties of anion exchangers in the luminal membrane of guinea pig pancreatic duct cells.(2018) Pflugers Archiv: European Journal of Physiology. 470:897-907.  IHC-P + WB ;  Guinea Pig.  
    PubMed:29399744
    [IF=3.138] Chen J et al. Effect of artemisinin on proliferation and apoptosis-related protein expression in vivo and in vitro.Saudi J Biol Sci. 2018 Nov;25(7):1488-1493.  WB&IHC ;  Rat.  
    PubMed:30505200
    [IF=3.13] Zhang, Wen-feng, et al. "Angelica polysaccharides inhibit the growth and promote the apoptosis of U251 glioma cells in vitro and in vivo." Phytomedicine (2017).  WB ;  Human.  
    PubMed:28887916
    [IF=3.105] Yang F et al. Copper induces oxidative stress and apoptosis through mitochondria-mediated pathway in chicken hepatocytes.(2019)Toxicol In Vitro. Feb;54:310-316.   WB ;  Chicken.  
    PubMed:30389602
    [IF=3.06] Li, Guiying, et al. ʺGremlin Aggravates Hyperglycemia‐Induced Podocyte Injury by a TGFβ/Smad Dependent Signaling Pathway.ʺ Journal of CellularBiochemistry (2013).  WB ;  Mouse.  
    PubMed:23553804
    [IF=3.043] Chen Y et al. Conditional deletion of Bmp2 in cranial neural crest cells recapitulates Pierre Robin sequence in mice.(2018)Cell Tissue Res.Nov 9.  IHC ;  Mouse.  
    PubMed:30413887
    [IF=2.959] Song, D. et al. Ivermectin inhibits the growth of glioma cells by inducing cell cycle arrest and apoptosis in vitro and in vivo. (2018) Journal of Cellular Biochemistry.   WB ;  Rat.  
    PubMed:10.1002/jcb.27420
    [IF=2.903] Wang C et al. Newcastle disease virus V protein inhibits apoptosis in DF-1 cells by downregulating TXNL1. (2018) Vet Res. 49(1):102.  WB ;  chicken embryos.  
    PubMed:30290847
    [IF=2.9] Shan, Ming, and Ting-Jun Fan. "Cytotoxicity of carteolol to human corneal epithelial cells by inducing apoptosis via triggering the Bcl-2 family protein-mediated mitochondrial pro-apoptotic pathway." Toxicology in Vitro (2016).  ELISA ;  Human.  
    PubMed:27216471
    [IF=2.86] Liu, Yaping, et al. "Overexpression of PRL7D1 in Leydig Cells Causes Male Reproductive Dysfunction in Mice." International Journal of Molecular Sciences 17.1 (2016): 96.  WB ;  Mouse.  
    PubMed:26771609
    [IF=2.85] Xu et al. Resveratrol controlled the fate of porcine pancreatic stem cells through the Wnt/β-catenin signaling pathway mediated by Sirt1. (2017) PLoS.On. 12:e0187159  WB ;  Pig.  
    PubMed:29073244
    [IF=2.791] Wang Q et al. Cdc20 and molecular chaperone CCT2 and CCT5 are required for the Muscovy duck reovirus p10. 8-induced cell cycle arrest and apoptosis. Vet Microbiol. 2019 Jun 28;235:151-163.  WB ;  Monkey.  
    PubMed:31282373
    [IF=2.75] Ye, Bengui, et al. "Anti-tumor activity and relative mechanism of ethanolic extract of Marsdenia tenacissima (Asclepiadaceae) against human hematologic neoplasm in vitro and in vivo." Journal of Ethnopharmacology (2014).  WB ;  Human.  
    PubMed:24583069
    [IF=2.7] Lv, Runxiao, et al. "Neuroprotective effect of allicin in a rat model of acute spinal cord injury." Life Sciences (2015).  WB ;  Rat.  
    PubMed:26546416
    [IF=2.69] Lin, Caiyu, et al. "Lithocarpus Polystachyus Rehd Leaf Aqueous Extract Inhibits Human Breast Cancer Growth In Vitro and In Vivo." Nutrition and Cancer (2014).  WB ;  Human.  
    PubMed:24660968
    [IF=2.656] Liu et al. Effects of insulin-like growth factor binding protein 3 on apoptosis of cutaneous squamous cell carcinoma cells. (2018) Onco.Targets.Ther. 11:6569-6577  WB ;  
    PubMed:30323629
    [IF=2.61] Lei, Mingxing, et al. ʺGsdma3 is a new factor needed for TNF-α-mediated apoptosis signal pathway in mouse skin keratinocytes.ʺ Histochemistry and cell biology 138.3 (2012): 385-396.  WB, IHC-P ;  Mouse.  
    PubMed: 22585037
    [IF=2.561] Peng X et al. Overexpression of modified human TRβ1 suppresses the growth of hepatocarcinoma SK-hep1 cells in vitro and in xenograft models.Mol Cell Biochem. 2018 Dec;449(1-2):207-218.   IHC-P&WB ;  Mouse&Human.  
    PubMed:29679278
    [IF=2.535] Chen J et al. Tension induces intervertebral disc degeneration via endoplasmic reticulum stress-mediated autophagy. Biosci Rep. 2019 Jul 8. pii: BSR20190578.  WB&IHC ;  Rat.  
    PubMed:31285389
    [IF=2.53] Yoshinaga, Ayana, et al. "NEU3 inhibitory effect of naringin suppresses cancer cell growth by attenuation of EGFR signaling through GM3 ganglioside accumulation." European Journal of Pharmacology (2016).  WB ;  Human.  
    PubMed:27105818
    [IF=2.52] Yao, Kun, et al. "Knockdown of RLIP76 expression by RNA interference inhibits proliferation, enhances apoptosis, and increases chemosensitivity to daunorubicin in U937 leukemia cells." Tumor Biology (2014): 1-9.  WB ;  Human.  
    PubMed:24839008
    [IF=2.498] Du J et al. MicroRNA-204-5p regulates 3T3-L1 preadipocyte proliferation, apoptosis and differentiation.Gene. 2018 Aug 20;668:1-7.   ICF ;  Mouse.  
    PubMed:29775748
    [IF=2.491] Şahin S et al. Vitamin D protects against hippocampal apoptosis related with seizures induced by kainic acid and pentylenetetrazol in rats.(2018) Epilepsy Res.149  IHC-P ;  Rat .  
    PubMed:30584976
    [IF=2.41] Guan, Junhong, et al. "Bone morphogenetic protein-7 (BMP-7) mediates ischemic preconditioning-induced ischemic tolerance via attenuating apoptosis in rat brain." Biochemical and Biophysical Research Communications (2013).  WB ;  Rat.  
    PubMed:24184479
    [IF=2.38] Gao, Hui, et al. "Hispidulin Potentiates the Antitumor Effect of Sunitinib Against Human Renal Cell Carcinoma in Laboratory Models." Cell Biochemistry and Biophysics: 1-8.  WB ;  Human.  
    PubMed:25260394
    [IF=2.38] Gao, Hui, et al. "shRNA-Mediated EMMPRIN Silencing Inhibits Human Leukemic Monocyte Lymphoma U937 Cell Proliferation and Increases Chemosensitivity to Adriamycin." Cell Biochemistry and Biophysics: 1-9.  WB ;  Human.  
    PubMed:25260396
    [IF=2.38] Abdel-Hamid, Nagwa I., Mona F. El-Azab, and Yasser M. Moustafa. "Macrolide antibiotics differentially influence human HepG2 cytotoxicity and modulate intrinsic/extrinsic apoptotic pathways in rat hepatocellular carcinoma model." Naunyn-Schmiedeberg's Archives of Pharmacology (2017): 1-17.  IHC-P ;  Rat.  
    PubMed:28070612
    [IF=2.37] Liu, Jun-Song, et al. "β-elemene enhances the radiosensitivity of gastric cancer cells by inhibiting Pak1 activation." World J Gastroenterol 21.34 (2015): 9945-9956.  WB ;  Human.  
    PubMed:26379399
    [IF=2.33] Yang, Juan, Guiyuan Li, and Keqiang Zhang. "Pro-survival effects by NF-κB, Akt and ERK (1/2) and anti-apoptosis actions by Six1 disrupt apoptotic functions of TRAIL-Dr4/5 pathway in ovarian cancer." Biomedicine & Pharmacotherapy 84 (2016): 1078-1087.  WB ;  Human.  
    PubMed:27780136
    [IF=2.31] Dong, Liwei, et al. "Echinacoside induces apoptotic cancer cell death by inhibiting the nucleotide pool sanitizing enzyme MTH1." OncoTargets and Therapy 8 (2015): 3649.  Human.  
    PubMed:26677335
    [IF=2.27] Li, M., et al. ʺmiR‐34c works downstream of p53 leading to dairy goat male germline stem‐cell (mGSCs) apoptosis.ʺ Cell Proliferation 46.2 (2013): 223-231.  WB ;  Goat.  
    PubMed:23510477
    [IF=2.15] Tang, Xi-Lan, et al. "The Cardioprotective Effect of Protocatechuic Acid on Myocardial Ischemia/Reperfusion Injury." Journal of Pharmacological Sciences 125.2 (2014): 176-183.  WB ;  Rat.  
    PubMed:24942213
    [IF=2.13] Cetintas, Vildan Bozok, et al. "Effects of flavopiridol on critical regulation pathways of CD133high/CD44high lung cancer stem cells." Medicine 95.43 (2016): e5150.  IF(ICC) ;  Mouse.  
    PubMed:27787370
    [IF=2.1] Zhang, Beiru, et al. "The Toxicity Mechanisms of Action of Aβ25–35 in Isolated Rat Cardiac Myocytes." Molecules 19.8 (2014): 12242-12257.  WB ;  Rat.  
    PubMed:25123188
    [IF=2.1] Hu, Hanhua, et al. "Drug-induced apoptosis of Echinococcus granulosus protoscoleces." Parasitology research 109.2 (2011): 453-459.  IHC-P ;  Others.  
    PubMed:21365454
    [IF=2.088] Wu LY, et al. Biochanin A Reduces Inflammatory Injury and Neuronal Apoptosis following Subarachnoid Hemorrhage via Suppression of the TLRs/TIRAP/MyD88/NF-B Pathway. Behav Neurol. 2018 Jun 3;2018:1960106.   WB ;  Rat.  
    PubMed:29971136
    [IF=2.03] Aksu, Ilkay, et al. "Anxiety correlates to decreased blood and prefrontal cortex IGF-1 levels in streptozotocin induced diabetes." Neuroscience Letters (2012).  Rat.  
    PubMed:23123774
    [IF=1.949] Li Q et al. The effects of photobiomodulation therapy on mouse pre-osteoblast cell line MC3T3-E1 proliferation and apoptosis via miR-503/Wnt3a pathway.(2018) Lasers Med Sci. Sep 15  WB ;  mouse.  
    PubMed:30218348
    [IF=1.894] An N et al. Involvement of Activation of Mitogen-Activated Protein Kinase (MAPK)/Extracellular Signal-Regulated Kinase (ERK) Signaling Pathway in Proliferation of Urethral Plate Fibroblasts in Finasteride-Induced Rat Hypospadias.(2018) Med Sci Monit.  WB ;  Rat .  
    PubMed:30538214
    [IF=1.871] Huang XW et al. Scutellarein suppresses Aβ‑induced memory impairment via inhibition of the NF‑κB pathway in vivo and in vitro. Oncol Lett. 2019 Jun;17(6):5581-5589.  WB ;  Rat.  
    PubMed:31186780
    [IF=1.85] Li, Mingzhao, et al. ʺExpression of miR‐34c in response to overexpression of Boule and Stra8 in dairy goat male germ line stem cells (mGSCs).ʺ Cell Biochemistry and Function (2013).  Goat.  
    PubMed:23508548
    [IF=1.83] KASSAYOVÁ, MONIKA, et al. "Anticancer and Immunomodulatory Effects of Lactobacillus plantarum LS/07, Inulin and Melatonin in NMU-induced Rat Model of Breast Cancer." Anticancer Research 36.6 (2016): 2719-2728.  IHC-P ;  Rat.  
    PubMed:27272781
    [IF=1.77] Sun et al. Protective effects of ginsenoside Rg1 against hydrogen peroxide-induced injury in human neuroblastoma cells. (2016) Neural.Regen.Re. 11:1159-64  IF(ICC) ;  Human.  
    PubMed:27630703
    [IF=1.77] Sun et al. Protective effects of ginsenoside Rg1 against hydrogen peroxide-induced injury in human neuroblastoma cells. (2016) Neural.Regen.Re. 11:1159-64  IF(ICC) ;  Human.  
    PubMed:27630703
    [IF=1.72] Zhao, Jun, et al. "The cytotoxic and pro-apoptotic effects of phenylephrine on corneal stromal cells via a mitochondrion-dependent pathway both in vitro and in vivo." Experimental and Toxicologic Pathology (2016).  ELISA ;  Human.  
    PubMed:27344612
    [IF=1.701] Kosutova P et al. Reduction of Lung Inflammation, Oxidative Stress and Apoptosis by the PDE4 Inhibitor Roflumilast in Experimental Model of Acute Lung Injury. Physiol Res. 2018 Dec 31;67(Supplementum 4):S645-S654.  IHC ;  Rabbit.  
    PubMed:30607971
    [IF=1.69] Song et al. Anti-autophagic and anti-apoptotic effects of memantine in a SH-SY5Y cell model of Alzheimer's disease via mammalian target of rapamycin-dependent and -independent pathways. (2015) Mol.Med.Re. 12:7615-22  WB ;  Human.  
    PubMed:26459718
    [IF=1.64] Kosutova, P., et al. "Intravenous dexamethasone attenuated inflammation and influenced apoptosis of lung cells in an experimental model of acute lung injury." Physiological research 65.Supplementum 5 (2016): S663.  IHC-P ;  Rabbit.  
    PubMed:28006948
    [IF=1.616] Wang YY et al. GABA regulates the proliferation and apoptosis of MAC-T cells through the LPS-induced TLR4 signaling pathway.Res Vet Sci. 2018 Jun;118:395-402.  WB ;  Bovine.  
    PubMed:29684816
    [IF=1.56] Qu, Zhongyuan, et al. "Chelidonine induces mitotic slippage and apoptotic-like death in SGC-7901 human gastric carcinoma cells." Molecular medicine reports 13.2 (2016): 1336-1344.  WB ;  Human.  
    PubMed:26677104
    [IF=1.55] Jia, Jianping, et al. "A preliminary study of the effect of ECRG4 overexpression on the proliferation and apoptosis of human laryngeal cancer cells and the underlying mechanisms." Molecular Medicine Reports.  Human.  
    PubMed:26165988
    [IF=1.55] Song, Guijun, et al. "Anti-autophagic and anti-apoptotic effects of memantine in a SH-SY5Y cell model of Alzheimers disease via mammalian target of rapamycin-dependent and-independent pathways." Molecular Medicine Reports.  WB ;  Human.  
    PubMed:not posted yet
    [IF=1.55] Ding, Qing, et al. "8‑bromo‑7‑methoxychrysin induces apoptosis by regulating Akt/FOXO3a pathway in cisplatin‑sensitive and resistant ovarian cancer cells." Molecular medicine reports 12.4 (2015): 5100-5108.  WB ;  Human.  
    PubMed:26151347
    [IF=1.55] Han, Ning, et al. "Agmatine protects Müller cells from high‑concentration glucose‑induced cell damage via N‑methyl‑D‑aspartic acid receptor inhibition." Molecular medicine reports 12.1 (2015): 1098-1106.  WB ;  Rat.  
    PubMed:25816073
    [IF=1.55] Yang, Jinjiang, Ying Lu, and Ai Guo. "Platelet-rich plasma protects rat chondrocytes from interleukin-1β-induced apoptosis." Molecular Medicine Reports 14.5 (2016): 4075-4082.  WB ;  Rat.  
    PubMed:27665780
    [IF=1.51] Sun, Y‐L., et al. "Relationship between apoptosis and proliferation in granulosa and theca cells of cystic follicles in sows." Reproduction in domestic animals 47.4 (2012): 601-608.  IHC-P ;  Pig.  
    PubMed:22023076
    [IF=1.48] Liu, Yong‑Chao, et al. "RNAi-mediated gene silencing of vascular endothelial growth factor C suppresses growth and induces apoptosis in mouse breast cancer in vitro and in vivo." Oncology Letters. (2016)  WB ;  Mouse.  
    PubMed:27666771
    [IF=1.41] Song et al. Effects of HSYA on the proliferation and apoptosis of MSCs exposed to hypoxic and serum deprivation conditions. (2018) Exp.Ther.Med. 15:5251-5260  WB ;  Rat.  
    PubMed:29904409
    [IF=1.243] Li W et al. Gallic acid caused cultured mice TM4 Sertoli cells apoptosis and necrosis. (2018) Asian-australas. J. Anim. Sci. Oct 26.  WB ;  Mouse.  
    PubMed:30381745
    [IF=1.14] Wang, J., et al. "Esculetin, a coumarin derivative, exerts in vitro and in vivo antiproliferative activity against hepatocellular carcinoma by initiating a mitochondrial-dependent apoptosis pathway." Brazilian Journal of Medical and Biological Research (2014): 000-000.  WB ;  Mouse.  
    PubMed:25517918
    [IF=1.06] Zhang, Xiaolin, and Hao Yu. "Matrine inhibits diethylnitrosamine-induced HCC proliferation in rats through inducing apoptosis via p53, Bax-dependent caspase-3 activation pathway and down-regulating MLCK overexpression (Supplement 2016)." Iranian Journal of Pharmaceutical Research (2016).  WB ;  Rat.  
    PubMed:27642320
    [IF=.87] Ochigbo, Grace Onyeche, et al. "Polyphenol-rich fraction of Parquetina nigrescens mitigates dichlorvos-induced neurotoxicity and apoptosis." Journal of Ayurveda and Integrative Medicine (2017).  Rat.  
    PubMed:28256303
    [IF=0] Li et al. Morusin suppresses breast cancer cell growth in vitro and in vivo through C/EBPβ and PPARγ mediated lipoapoptosis. (2015) J.Exp.Clin.Cancer.Res. 34:137  WB ;  Human.  
    PubMed:26538209
    [IF=0] Wang, Yu, et al. "Tanshinone II A Relieves Adriamycin-induced Myocardial Injury in Rat Model." International Journal of Chemistry 8.1 (2016): 40.  WB ;  Rat.  
    PubMed:10.5539/ijc.v8n1p40
    [IF=0] Petty, Howard R. "NANOPARTICLE THERAPY IN CANCER." U.S. Patent No. 20,150,335,744. 26 Nov. 2015.  IF(ICC) ;  
    PubMed:1111
    [IF=0] Xia et al. Reversion of p-glycoprotein-mediated multidrug resistance in human leukemic cell line by diallyl trisulfide. (2012) Evid.Based.Complement.Alternat.Me. 2012:719805  WB ;  Human.  
    PubMed:22919419
    [IF=0] Tang et al. The cardioprotective effects of citric Acid and L-malic Acid on myocardial ischemia/reperfusion injury. (2013) Evid.Based.Complement.Alternat.Me. 2013:820695  WB ;  Rat.  
    PubMed:23737849
    [IF=0] Zhou et al. Suppression of E. multilocularis hydatid cysts after ionizing radiation exposure. (2013) PLoS.Negl.Trop.Di. 7:e2518  WB ;  Mouse.  
    PubMed:24205427
    [IF=0] Zhong et al. MicroRNA-200a inhibits epithelial-mesenchymal transition in human hepatocellular carcinoma cell line. (2015) Int.J.Clin.Exp.Patho. 8:9922-31  WB ;  Human.  
    PubMed:26617701
    [IF=0] Pang and Fan Cytotoxic effect and possible mechanisms of Tetracaine on human corneal epithelial cells in vitro. (2016) Int.J.Ophthalmo. 9:497-504  ELISA ;  Human.  
    PubMed:27162719
    [IF=0] Li X et al. High level expression of ISG12 (1) promotes cell apoptosis via mitochondrial-dependent pathway and so as to hinder Newcastle disease virus replication.(2019)Vet Microbiol. Jan;228:147-156.   WB ;  Chicken.  
    PubMed:30593361
    [IF=.181] Wang S et al. Insulin-like growth factor-1 inhibits the expression of autophagic ID1 in cerebrovascular endothelial cells. Int J Clin Exp Med 2019;12(8):10486-10493.  WB ;  Human.  
    PubMed:ISSN:1940-5901/IJCEM0091146
    [IF=0] Chen S et al. Anthocyanins from Lycium ruthenicum Murr. Ameliorated d-Galactose-Induced Memory Impairment, Oxidative Stress, and Neuroinflammation in Adult Rats. J Agric Food Chem. 2019 Mar 20;67(11):3140-3149.   WB ;  Rat.  
    PubMed:30813721
    研究领域 肿瘤  细胞生物  神经生物学  信号转导  细胞凋亡  Alzheimer's  
    抗体来源 Rabbit
    克隆类型 Polyclonal
    交叉反应 Human, Mouse, Rat, Dog, Pig, Cow, Horse, Rabbit, Sheep, 
    产品应用 WB=1:500-2000 ELISA=1:500-1000 IHC-P=1:100-500 IHC-F=1:100-500 Flow-Cyt=2μg/Test ICC=1:100 IF=1:100-500 (石蜡切片需做抗原修复)
    not yet tested in other applications.
    optimal dilutions/concentrations should be determined by the end user.
    分 子 量 28kDa
    细胞定位 细胞浆 
    性    状 Liquid
    浓    度 1mg/ml
    免 疫 原 KLH conjugated synthetic peptide derived from human caspase-3 p17 subunit:1-100/277 
    亚    型 IgG
    纯化方法 affinity purified by Protein A
    储 存 液 0.01M TBS(pH7.4) with 1% BSA, 0.03% Proclin300 and 50% Glycerol.
    保存条件 Shipped at 4℃. Store at -20 °C for one year. Avoid repeated freeze/thaw cycles.
    PubMed PubMed
    产品介绍 The caspase family of cysteine proteases play a key role in apoptosis. Caspase 3 is the most extensively studied apoptotic protein among caspase family members. Caspase 3 is synthesized as inactive pro enzyme that is processed in cells undergoing apoptosis by self proteolysis and/or cleavage by other upstream proteases (e.g. Caspases 8, 9 and 10). The processed form of Caspase 3 consists of large (17kDa) and small (12kDa) subunits which associate to form an active enzyme. Caspase 3 is cleaved at Asp28 Ser29 and Asp175 Ser176. The active Caspase 3 proteolytically cleaves and activates other caspases (e.g. Caspases 6, 7 and 9), as well as relevant targets in the cells (e.g. PARP and DFF). Alternative splicing of this gene results in two transcript variants which encode the same protein. In immunohistochemical studies Caspase 3 expression has been shown to be widespread but not present in all cell types (e.g. commonly reported in epithelial cells of skin, renal proximal tubules and collecting ducts). Differences in the level of Caspase 3 have been reported in cells of short lived nature (eg germinal centre B cells) and those that are long lived (eg mantle zone B cells). Caspase 3 is the predominant caspase involved in the cleavage of amyloid beta 4A precursor protein, which is associated with neuronal death in Alzheimer's disease.
    Reacts with Caspase-3 subunit p17 and precursor.

    Function:
    Involved in the activation cascade of caspases responsible for apoptosis execution. At the onset of apoptosis it proteolytically cleaves poly(ADP-ribose) polymerase (PARP) at a '216-Asp-|-Gly-217' bond. Cleaves and activates sterol regulatory element binding proteins (SREBPs) between the basic helix-loop-helix leucine zipper domain and the membrane attachment domain. Cleaves and activates caspase-6, -7 and -9. Involved in the cleavage of huntingtin. Triggers cell adhesion in sympathetic neurons through RET cleavage.

    Subunit:
    Heterotetramer that consists of two anti-parallel arranged heterodimers, each one formed by a 17 kDa (p17) and a 12 kDa (p12) subunit. Interacts with BIRC6/bruce.

    Subcellular Location:
    Cytoplasm.

    Tissue Specificity:
    Highly expressed in lung, spleen, heart, liver and kidney. Moderate levels in brain and skeletal muscle, and low in testis. Also found in many cell lines, highest expression in cells of the immune system.

    Post-translational modifications:
    Cleavage by granzyme B, caspase-6, caspase-8 and caspase-10 generates the two active subunits. Additional processing of the propeptides is likely due to the autocatalytic activity of the activated protease. Active heterodimers between the small subunit of caspase-7 protease and the large subunit of caspase-3 also occur and vice versa.
    S-nitrosylated on its catalytic site cysteine in unstimulated human cell lines and denitrosylated upon activation of the Fas apoptotic pathway, associated with an increase in intracellular caspase activity. Fas therefore activates caspase-3 not only by inducing the cleavage of the caspase zymogen to its active subunits, but also by stimulating the denitrosylation of its active site thiol.

    Similarity:
    Belongs to the peptidase C14A family.

    SWISS:
    P42574

    Gene ID:
    836

    Database links:

    Entrez Gene: 836 Human

    Entrez Gene: 12367 Mouse

    Entrez Gene: 397244 Pig

    Entrez Gene: 100008840 Rabbit

    Entrez Gene: 25402 Rat

    Omim: 600636 Human

    SwissProt: P42574 Human

    SwissProt: P70677 Mouse

    SwissProt: Q95ND5 Pig

    SwissProt: Q8MJC3 Rabbit

    SwissProt: P55213 Rat

    Unigene: 141125 Human

    Unigene: 34405 Mouse

    Unigene: 10562 Rat



    Important Note:
    This product as supplied is intended for research use only, not for use in human, therapeutic or diagnostic applications.

    Caspase3广泛分布于各种不同类型的细胞中,是Caspase家族中最重要的凋亡执行者之一,激活的Caspase-3能使许多与细胞结构、细胞周期及DNA修复等相关蛋白或激酶失活,从而使细胞凋亡.
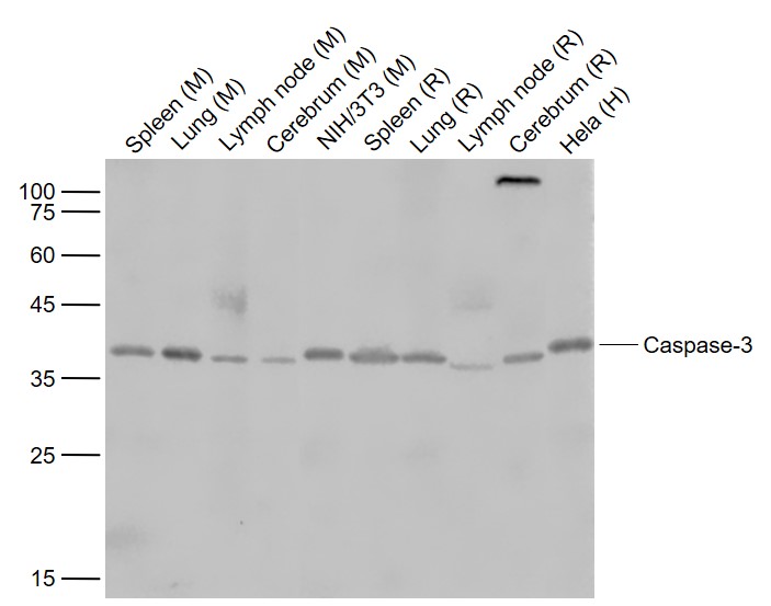
    产品图片
    Sample:
    Lane 1: Spleen (Mouse) Lysate at 40 ug
    Lane 2: Lung (Mouse) Lysate at 40 ug
    Lane 3: Lymph node (Mouse) Lysate at 40 ug
    Lane 4: Cerebrum (Mouse) Lysate at 40 ug
    Lane 5: NIH/3T3 (Mouse) Cell Lysate at 30 ug
    Lane 6: Spleen (Rat) Lysate at 40 ug
    Lane 7: Lung (Rat) Lysate at 40 ug
    Lane 8: Lymph node (Rat) Lysate at 40 ug
    Lane 9: Cerebrum (Rat) Lysate at 40 ug
    Lane 10: Hela (Human) Cell Lysate at 30 ug
    Primary: Anti-Caspase-3 (bs-0081R) at 1/1000 dilution
    Secondary: IRDye800CW Goat Anti-Rabbit IgG at 1/20000 dilution
    Predicted band size: 35 kD
    Observed band size: 37 kD
    Sample:
    Lane 1: Raji (Human) Cell Lysate at 30 ug
    Lane 2: NIH/3T3 (Mouse) Cell Lysate at 30 ug
    Lane 3: Lung (Mouse) Lysate at 40 ug
    Lane 4: Lung (Rat) Lysate at 40 ug
    Primary: Anti-Caspase-3 (bs-0081R) at 1/1000 dilution
    Secondary: IRDye800CW Goat Anti-Rabbit IgG at 1/20000 dilution
    Predicted band size: 35 kD
    Observed band size: 37 kD
    Sample:
    Kidney (Mouse) Lysate at 40 ug
    Primary: Anti-Caspase-3 (bs-0081R) at 1/300 dilution
    Secondary: IRDye800CW Goat Anti-Rabbit IgG at 1/20000 dilution
    Predicted band size: 28 kD
    Observed band size: 17 kD
    Sample:
    Liver (Mouse) Lysate at 40 ug
    Primary: Anti-Caspase-3 (bs-0081R) at 1/500 dilution
    Secondary: IRDye800CW Goat Anti-Rabbit IgG at 1/20000 dilution
    Predicted band size: 28 kD
    Observed band size: 28 kD
    Sample: Raji Cell lysate;
    Primary: Anti-Caspase-3 (bs-0081R) at 1:300;
    Secondary: HRP conjugated Goat-Anti-rabbit IgG(bs-0295G-HRP) at 1: 5000;
    Predicted band size: 17/28 kD
    Observed band size: 26 kD
    Sample:Liver(Sheep)Lysate at 40 ug
    Primary: Anti-Caspase-3(bs-0081R)at 1/300 dilution
    Secondary: IRDye800CW Goat Anti-RabbitIgG at 1/20000 dilution
    Predicted band size: 28kD
    Observed band size: 30kD
    Sample:
    Lung(Mouse) Lysate at 40 ug
    Hela(Human) Cell Lysate at 30 ug
    NIH/3T3(Mouse) Cell Lysate at 30 ug
    Primary: Anti-Caspase-3 (bs-0081R) at 1/1000 dilution
    Secondary: IRDye800CW Goat Anti-Rabbit IgG at 1/20000 dilution
    Predicted band size: 35/29/19/17 kD
    Observed band size: 38 kD
    Protein:Lung(Mouse) lysate at 30ug;
    Primary: Anti-caspase-3 (bs-0081R) at 1:300 dilution;
    Secondary: HRP conjugated Goat-Anti-Rabbit IgG(bse-0295G) at 1: 5000;
    Predicted band size : 17/28 kD
    Observed band size : 28 kD
    Tissue/cell: rat brain tissue; 4% Paraformaldehyde-fixed and paraffin-embedded;
    Antigen retrieval: citrate buffer ( 0.01M, pH 6.0 ), Boiling bathing for 15min; Block endogenous peroxidase by 3% Hydrogen peroxide for 30min; Blocking buffer (normal goat serum,C-0005) at 37℃ for 20 min;
    Incubation: Anti-Caspase-3 Polyclonal Antibody, Unconjugated(bs-0081R) 1:200, overnight at 4癈, followed by conjugation to the secondary antibody(SP-0023) and DAB(C-0010) staining
    Tissue/cell: rabbit pancreas tissue; 4% Paraformaldehyde-fixed and paraffin-embedded;
    Antigen retrieval: citrate buffer ( 0.01M, pH 6.0 ), Boiling bathing for 15min; Block endogenous peroxidase by 3% Hydrogen peroxide for 30min; Blocking buffer (normal goat serum,C-0005) at 37℃ for 20 min;
    Incubation: Anti-Caspase-3 Polyclonal Antibody, Unconjugated(bs-0081R) 1:300, overnight at 4癈, followed by conjugation to the secondary antibody(SP-0023) and DAB(C-0010) staining
    Tissue/cell: NIH/3T3 cell; 4% Paraformaldehyde-fixed; Triton X-100 at room temperature for 20 min; Blocking buffer (normal goat serum, C-0005) at 37°C for 20 min; Antibody incubation with (Caspase-3) polyclonal Antibody, Unconjugated (bs-0081R) 1:100, 90 minutes at 37°C; followed by a FITC conjugated Goat Anti-Rabbit IgG antibody at 37°C for 90 minutes, DAPI (blue, C02-04002) was used to stain the cell nuclei.
    The figure annotation:
    The blue histogram is unstained cells
    . The Orange histogram is cells stained with Rabbit IgG/FITC (bs-0295P-FITC).
    The green histogram is cells stained with Rabbit Anti-Caspase-3/FITC Conjugated antibody (bs-0081R-FITC).
    Controls
    Positive control: HepG 2 cells
    Isotype control: Cell lines treated with Rabbit IgG/FITC (bs-0295P-FITC) instead of the primary antibody to confirm that primary antibody binding is specific. 2μg in 1 00μL1 X PBS containing 0.5% BSA.
    The figure annotation:
    The blue histogram is unstained cells.
    The Orange histogram is cells stained with Rabbit IgG/FITC (bs-0295P-FITC).
    The green histogram is cells stained with Rabbit Anti-Caspase-3/FITC Conjugated antibody (bs-0081R-FITC).
    Controls
    Positive control: A549 cells
    Isotype control: Cell lines treated with Rabbit IgG/FITC(bs-0295P-FITC) instead of the primary antibody to confirm that primary antibody binding is specific. 3μg in 1 00 μL 1 X PBS containing 0.5% BSA.
    Blank control:Mouse spleen.
    Primary Antibody (green line): Rabbit Anti-Caspase-3 antibody (bs-0081R)
    Dilution: 2μg /10^6 cells;
    Isotype Control Antibody (orange line): Rabbit IgG .
    Secondary Antibody : Goat anti-rabbit IgG-AF488
    Dilution: 1μg /test.
    Protocol
    The cells were fixed with 4% PFA (10min at room temperature)and then permeabilized with 0.1% PBST for 20 min at room temperature. The cells were then incubated in 5%BSA to block non-specific protein-protein interactions for 30 min at room temperature .Cells stained with Primary Antibody for 30 min at room temperature. The secondary antibody used for 40 min at room temperature. Acquisition of 20,000 events was performed.
    十二烷基磺酸钠与十二烷基硫酸钠的区别
    实验室中的化学试剂的防护之十二烷基硫酸钠
    十二烷基硫酸钠(SDS)的生物应用
    十二烷基硫酸钠 SDS说明书暂时没有说明书
    1.《Multifunction Sr, Co and F co-doped microporous coating on titanium of antibacterial, angiogenic and osteogenic activities》
    作者:Jianhong Zhou ,Lingzhou Zhao 影响因子:4.259
    期刊:《Scientific Reports 6, Article number: 29069 (2016)》 PMID:27353337

    用户名:   (可为空)
    E-mail:   *(必填)
    评价等级:
    评论内容:   *(必填)

    客服电话:020-29828232

    免费包邮:在线下单500免邮

    在线客服:在线贴心服务

    促销精品:享受优惠及礼品

    热门品牌

    • Procell/普诺赛
    • ECOTOP/亿涛
    • Bioss/博奥森
    • NEST/耐思
    • Solarbio/索莱宝

    推荐品牌

    • NCM/新赛美
    • Aomabio/奥玛
    • GLPBIO
    • ABW
    • ExcellBio/依科赛

    产品与服务

    • 试剂: 小分子化合物、bioss试剂、检测类试剂、 查看更多 ...
    • 耗材: 血球计数板、离心管系列、冷冻类耗材、 查看更多 ...
    • 仪器: 移液器(Pipette)、分子生物实验仪器、实验室常规仪器设备、 查看更多 ...
    • 抗体类: 蛋白因子、试剂盒、二抗、 查看更多 ...

    联系方式

    通过以下方式与我们保持联系!

    通信地址: 广州市天河区高普路85号金发科技园6号楼437室

    热线电话: 020-29828232

    手机号码: 13926420120

    销售邮箱: 1335416497@gq.com

    销售QQ: 1335416497

    微信订阅号
    赛国生物客服电话

    Copyright © 2026-2027 广州赛国生物科技有限公司. 版权所有. www.saiguotech.com     学智网站制作