• 中文标识 中文

一些人,一些业务,一些老朋友,电话:13924260120

赛国生物公司logo
  • 020-29828232
  • 首页
  • 产品中心
    品牌中心Procell/普诺赛ECOTOP/亿涛Bioss/博奥森NEST/耐思Solarbio/索莱宝NCM/新赛美Aomabio/奥玛GLPBIOABWExcellBio/依科赛genefistNovoprotein/近岸蛋白中科都菱Elabscience/伊莱瑞特CountstarBioFroxxBiosharp/白鲨ABCONE/昂一GENFINE/济凡Kirgen/科进MarienfeldSRITRANG/施睿康甄选LABSELECT豫顺/yushun淼灵质粒SIGMAFOUR ESLeica/徕卡CISTRO/吉格生物Cellpro/赛普大龙兴创/DragonLab赛默飞/ThermoFisher元素聚焦(ELFO)其他品牌 试剂分子生物学试剂常用生化试剂蛋白质/抗原/多肽/酶细胞培养试剂WB实验相关试剂非常规试剂检测类试剂bioss试剂小分子化合物耗材常用耗材PCR耗材吸头等移液系列耗材手套口罩等防护类细胞培养系列耗材冷冻类耗材离心管系列血球计数板仪器细胞培养与分析仪器实验室常规仪器设备分子生物实验仪器移液器(Pipette)抗体类一抗二抗试剂盒蛋白因子
  • 生物试剂
    • 分子生物学试剂
    • 常用生化试剂
    • 蛋白质/抗原/多肽/酶
    • 细胞培养试剂
    • WB实验相关试剂
    • 非常规试剂
    • 检测类试剂
    • bioss试剂
    • 小分子化合物
  • 实验耗材
    • 常用耗材
    • PCR耗材
    • 吸头等移液系列耗材
    • 手套口罩等防护类
    • 细胞培养系列耗材
    • 冷冻类耗材
    • 离心管系列
    • 血球计数板
  • 抗体蛋白类
    • 一抗
    • 二抗
    • 试剂盒
    • 蛋白因子
  • 仪器设备
    • 细胞培养与分析仪器
    • 实验室常规仪器设备
    • 分子生物实验仪器
    • 移液器(Pipette)
  • 新闻资讯
  • 走进赛国生物
    • 公司简介
    • 技术服务
    • 产品中心
    • 人才招聘
    • 在线订购
    • 联系我们
  • 首页 > 抗体类 > 一抗 > 3-磷酸甘油醛脱氢酶(内参)抗体 | RabbitAnti-GAPDH (Loading Control) antibody
3-磷酸甘油醛脱氢酶(内参)抗体  |  RabbitAnti-GAPDH (Loading Control) antibody

产品细节图:

  • 3-磷酸甘油醛脱氢酶(内参)抗体  |  RabbitAnti-GAPDH (Loading Control) antibody

3-磷酸甘油醛脱氢酶(内参)抗体 | RabbitAnti-GAPDH (Loading Control) antibody

品牌:Bioss/博奥森 | 货号:bs-2188R
  • 所属大类 : 抗体类
  • 所属小类 : 一抗
  • 品牌 : Bioss/博奥森
  • 规格 : 100ul
  • 原价 : ¥980.00
  • 促销价 : ¥980.00
  • -
    +

    店铺活动

    PBS片剂

    • 产品介绍
    • 技术文章
    • 产品说明书
    • 相关论文
    • 咨询|评价
    产品编号 bs-2188R
    英文名称 GAPDH (Loading Control)
    中文名称 3-磷酸甘油醛脱氢酶(内参)抗体
    别    名 38 kDa BFA-dependent ADP-ribosylation substrate; Aging-associated gene 9 protein; BARS-38; cb609; EC 1.2.1.12; G3PD; G3PDH; GAPD; Glyceraldehyde 3 phosphate dehydrogenase; Glyceraldehyde 3 phosphate dehydrogenase liver; Glyceraldehyde 3 phosphate dehydrogenase muscle; KNC-NDS6; MGC102544; MGC102546; MGC103190; MGC103191; MGC105239; MGC127711; MGC88685; OCAS, p38 component; OCT1 coactivator in S phase, 38-KD component; wu:fb33a10.  
    Specific References  (57)     |     bs-2188R has been referenced in 57 publications.
    [IF=0] Zhang et al. Increased stathmin expression strengthens fear conditioning in epileptic rats. (2015) Biomed.Rep. 3:28-32  WB ;  Rat.  
    PubMed:25469242
    [IF=7.901] Lin S et al. Strategy for hypertrophic scar therapy: Improved delivery of triamcinolone acetonide using mechanically robust tip-concentrated dissolving microneedle array. J Control Release. 2019 May 27;306:69-82.  WB ;  Rabbit.  
    PubMed:31145948
    [IF=7.901] Zhang N et al. Polypeptide-engineered DNA tetrahedrons for targeting treatment of colorectal cancer via apoptosis and autophagy. J Control Release. 2019 Jul 10;309:48-58.   WB ;  Human.  
    PubMed:31301339
    [IF=6.306] Zhou P et al. Histamine-4 receptor antagonist JNJ7777120 inhibits pro-inflammatory microglia and prevents the progression of Parkinson-like pathology and behaviour in a rat model.(2018)Brain Behav. Immun. Nov 05.  WB ;  Rat.  
    PubMed:30408497
    [IF=6.217] Wang L et al. Zoledronic acid inhibits the growth of cancer stem cell derived from cervical cancer cell by attenuating their stemness phenotype and inducing apoptosis and cell cycle arrest through the Erk1/2 and Akt pathways. J Exp Clin Cancer Res. 2019 Feb 21;38(1):93.  WB ;  Mouse.  
    PubMed:30791957
    [IF=5.79] Yang et al. Rab5-mediated VE-cadherin internalization regulates the barrier function of the lung microvascular endothelium. (2015) Cell.Mol.Life.Sci. 72:4849-66  WB ;  Human.  
    PubMed:26112597
    [IF=5.17] Zhang et al. Dysregulation of YAP by the Hippo pathway is involved in intervertebral disc degeneration, cell contact inhibition, and cell senescence. (2018) Oncotarget. 9:2175-2192  WB ;  Rat.  
    PubMed:29416763
    [IF=5.005] Li Y et al. Exosomes derived from Toxoplasma gondii stimulate an inflammatory response through JNK signaling pathway. Nanomedicine (Lond). 2018 May;13(10):1157-1168.  WB ;  Human.  
    PubMed:29542367
    [IF=4.46] Yan, Lijie, et al. "Regulator of calcineurin 1-1L protects cardiomyocytes against hypoxia-induced apoptosis via mitophagy." Journal of cardiovascular pharmacology 64.4 (2014): 310-317.  WB ;  Human.  
    PubMed:24887685
    [IF=4.38] Sun, Pengchao, et al. "SL2B aptamer and folic acid dual-targeting DNA nanostructures for synergic biological effect with chemotherapy to combat colorectal cancer." International Journal of Nanomedicine 12 (2017): 2657.  WB ;  Human.  
    PubMed:28435250
    [IF=4.258] Steenblock et al. The Cdc42 guanine nucleotide exchange factor FGD6 coordinates cell polarity and endosomal membrane recycling in osteoclasts. (2014) J.Biol.Che. 289:18347-59  WB ;  Mouse.  
    PubMed:24821726
    [IF=3.974] Liao J et al. Inhibition of Caspase-1-dependent pyroptosis attenuates copper-induced apoptosis in chicken hepatocytes.Ecotoxicol Environ Saf. 2019 Jun 15;174:110-119.  WB ;  Chicken.  
    PubMed:30822667
    [IF=3.895] Shen X et al.Retinoic Acid-Induced Protein 14 (RAI14) Promotes mTOR-Mediated Inflammation Under Inflammatory Stress and Chemical Hypoxia in a U87 Glioblastoma Cell Line.(2018) Cell Mol Neurobiol.   WB ;  Human.  
    PubMed:30554401
    [IF=3.831] Zhang H et al. Trimetazidine Attenuates Exhaustive Exercise-Induced Myocardial Injury in Rats via Regulation of the Nrf2/NF-κB Signaling Pathway.Front Pharmacol. 2019 Mar 5;10:175.   WB ;  Rat.  
    PubMed:30890937
    [IF=3.687] Yuan FH et al. microRNA‐30a inhibits the liver cell proliferation and promotes cell apoptosis through the JAK/STAT signaling pathway by targeting SOCS‐1 in rats with sepsis. J Cell Physiol. 2019 Apr 10.   WB ;  Rat.  
    PubMed:30972748
    [IF=3.562] Zhang,et al.Interferon-γ Promotes Neuronal Repair by Transplanted Neural Stem Cells in Ischemic Rats.(2018) Stem Cells and Development. 27:355-366.  WB ;  Rat.  
    PubMed:29298609
    [IF=3.457] Ling L et al. MicroRNA-30e promotes hepatocyte proliferation and inhibits apoptosis in cecal ligation and puncture-induced sepsis through the JAK/STAT signaling pathway by binding to FOSL2.Biomed Pharmacother. 2018 Aug;104:411-419.  WB ;  Rat.  
    PubMed:29787988
    [IF=3.44] Chen B et al. Inhibition of Connexin43 Hemichannels with Gap19 Protect-s Cerebral Ischemia/Reperfusion Injury via the JAK2/STAT3 Pathway in Mice.(2018) Brain Res Bull.  WB ;  Mouse.  
    PubMed:30593877
    [IF=3.412] Yang Q et al. Activation of Nrf2 by phloretin attenuates palmitic acid-induced endothelial cell oxidative stress via AMPK-dependent signaling.(2018) J Agric Food Chem.   WB ;  Human.  
    PubMed:30525573
    [IF=3.205] Liu et al. Surgical incision induces learning impairment in mice partially through inhibition of the brain-derived neurotrophic factor signaling pathway in the hippocampus and amygdala. (2018) Mol.Pain. 14:1744806918805902  WB ;  Mouse.  
    PubMed:30232930
    [IF=3.144] Liu,et al.Cytoprotective effect and purification of novel antioxidant peptides from hazelnut (C. heterophylla Fisch) protein hydrolysates.(2018) Journal of Functional Foods. 42:203-215.  WB ;  Human.  
    PubMed:10.1016/j.jff.2017.12.003
    [IF=3.04] Ma W et al. A vanillin derivative suppresses the growth of HT29 cells through the Wnt/β-catenin signaling pathway. Eur J Pharmacol. 2019 Apr 15;849:43-49.   WB ;  Human.  
    PubMed:30707959
    [IF=2.78] Chai et al. Hypoxia induces pulmonary arterial fibroblast proliferation, migration, differentiation and vascular remodeling via the PI3K/Akt/p70S6K signaling pathway. (2018) Int.J.Mol.Med. 41:2461-2472  IF ;  Rat.  
    PubMed:29436587
    [IF=2.669] Qiu,et al.Recombinant human maspin inhibits high glucose-induced oxidative stress and angiogenesis of human retinal microvascular endothelial cells via PI3K/AKT pathway.(2018) Molecular and Cellular Biochemistry. :.  WB ;  Human.  
    PubMed:29363056
    [IF=2.634] Zhang X et al. BMP9 Promotes the Extracellular Matrix of Nucleus Pulposus Cells Via Inhibition of the NotchSignaling Pathway. DNA Cell Biol. 2019 Feb 13.  WB ;  Human.  
    PubMed:30758228
    [IF=2.559] Qian L et al. Upregulated circular RNA circ_0074027 promotes glioblastoma cell growth and invasion by regulating miR-518a-5p/IL17RD signaling pathway. Biochem Biophys Res Commun. 2019 Mar 19;510(4):515-519.   WB ;  Human.  
    PubMed:30738578
    [IF=2.498] Huang H et al. Molecular characterization, expression and cellular localization of CYP17 gene during geese (Anser cygnoides) follicular development. Gene. 2018 Jun 5;658:184-190.   WB ;  Geese.  
    PubMed:29544766
    [IF=2.49] Wang, Hong, et al. "Osthole shows the potential to overcome P-glycoprotein‑mediated multidrug resistance in human myelogenous leukemia K562/ADM cells by inhibiting the PI3K/Akt signaling pathway." Oncology reports 35.6 (2016): 3659-3668.  WB ;  Human.  
    PubMed:27109742
    [IF=2.431] Wang L et al. Serious Selenium Deficiency in the Serum of Patients with Kashin–Beck Disease and the Effect of Nano-Selenium on Their Chondrocytes. Biol Trace Elem Res. 2019 Jun 8.   WB ;  Human.  
    PubMed:31175635
    [IF=2.387] Jiang L et al. Astrocytes induce proliferation of oligodendrocyte progenitor cells via connexin 47-mediated activation of Chi3l1 expression. Eur Rev Med Pharmacol Sci. 2019 Apr;23(7):3012-3020.   WB ;  Rat.  
    PubMed:31002152
    [IF=2.314] Ma H et al. Interferon-γ facilitated adjuvant-induced arthritis at early stage. Scand J Immunol. 2019 Feb 9:e12757.  WB ;  Mouse.  
    PubMed:30739356
    [IF=2.3] Zhang, Xiangliang, et al. "MicroRNA-216a enhances the radiosensitivity of pancreatic cancer cells by inhibiting beclin-1-mediated autophagy." Oncology Reports.  WB ;  
    PubMed:26134156
    [IF=2.14] Song, Yong, et al. "Increased expression of the pluripotency markers sex-determining region Y-box 2 and Nanog homeobox in ovarian endometriosis." Reproductive Biology and Endocrinology 12.1 (2014): 42.  WB ;  Human.  
    PubMed:24884521
    [IF=2.11] Yan, Lijie, et al. "Regulator of calcineurin 1-1L protects cardiomyocytes against hypoxia-induced apoptosis via mitophagy." Journal of cardiovascular pharmacology 64.4 (2014): 310-317.  WB ;  Human.  
    PubMed:24887685
    [IF=2.11] Li et al. All-trans retinoic acid regulates the expression of the extracellular matrix protein fibulin-1 in the guinea pig sclera and human scleral fibroblasts. (2010) Mol.Vi. 16:689-97  WB ;  Human.  
    PubMed:20405022
    [IF=2.09] Tan, Shifan, et al. "miR-409-3p sensitizes colon cancer cells to oxaliplatin by inhibiting Beclin-1-mediated autophagy." International Journal of Molecular Medicine.  WB ;  
    PubMed:26935807
    [IF=1.922] Cao et al. Dickkopf‑3 upregulation mediates the cardioprotective effects of curcumin on chronic heart failure. (2018) Mol.Med.Rep. 17:7249-7257  WB ;  rabbit.  
    PubMed:29568962
    [IF=1.92] Huang et al. Intracellular iodinated compounds affect sodium iodide symporter expression through TSH-mediated signaling pathways. (2011) Mol.Med.Rep. 4:77-80  WB ;  Porcine.  
    PubMed:21461567
    [IF=1.851] Dai X et al. Silencing of MALAT1 inhibits migration and invasion by sponging miR‑1‑3p in prostate cancer cells. Mol Med Rep. 2019 Aug 22.   WB ;  Human.  
    PubMed:31485645
    [IF=1.632] Wang R et al. Molecular cloning and functional characterization of porcine 2',5'-oligoadenylate synthetase 1b and its effect on infection with porcine reproductive and respiratory syndrome virus. Vet Immunol Immunopathol. 2019 Mar;209:22-30.  WB ;  Porcine.  
    PubMed:30885302
    [IF=1.563] Wang,et al.Screening of genes involved in epithelial-mesenchymal transition and differential expression of complement-related genes induced by PAX2 in renal tubules.() Nephrology. :.  WB ;  Rat.  
    PubMed:29280536
    [IF=1.55] Jia, Lianqun, et al. "Effects of Tanshinone IIA on the modulation of miR‑33a and the SREBP‑2/Pcsk9 signaling pathway in hyperlipidemic rats." Molecular Medicine Reports (2016).  WB ;  Rat.  
    PubMed:27082100
    [IF=1.514] Wang Y et al. Tempol relieves lung injury in a rat model of chronic intermittent hypoxia via suppression of inflammation and oxidative stress. Iran J Basic Med Sci. 2018 Dec;21(12):1238-1244.  WB ;  Rat.  
    PubMed:30627367
    [IF=1.48] Hou, Yu Sen, et al. "Lipopolysaccharide pretreatment inhibits LPS-induced human umbilical cord mesenchymal stem cell apoptosis via upregulating the expression of cellular FLICE-inhibitory protein." Molecular Medicine Reports.  WB ;  Human.  
    PubMed:25955291
    [IF=1.358] Ma WF et al. Vanillic acid alleviates palmitic acid‐induced oxidative stress in human umbilical vein endothelial cells via Adenosine Monophosphate‐Activated Protein Kinase signaling pathway. Journal of Food Biochemistry,2019 e12893.   WB ;  Human.  
    PubMed:doi:10.1111/jfbc.12893
    [IF=1.28] YIN, Zhi-hong, et al. "Expression and tissue distribution analysis of Angiotensin II in sheep (Ovis aries) skins associated with white and black coat colors." Journal of Zhejiang University Science B 1 (2016).  WB ;  Sheep.  
    PubMed:0
    [IF=1.189] Xu Q et al. Expression of macrophage migration inhibitory factor in Aspergillus fumigatus keratitis. Int J Ophthalmol. 2019 May 18;12(5):711-716.   WB ;  Rat&Human.  
    PubMed:31131227
    [IF=.99] Shao, Guangcan, et al. "Construction of the plasmid coding for the expression of the EGFP‑M‑IL‑2 (88Arg, 125Ala) fusion protein and the anti‑tumor effects exerted by the fusion protein in HeLa-60 cells." Oncology Letters.  WB ;  Human.  
    PubMed:26137137
    [IF=0] Kaushal P et al. Ameliorative role of antioxidant supplementation on sodium-arsenite induced adverse effects on the developing rat cerebellum. Journal of Ayurveda and Integrative Medicine.2019  WB ;  Rat.  
    PubMed:doi:10.1016/j.jaim.2018.02.138 
    [IF=0] Wen Y et al. NADPH Oxidase Hyperactivity Contributes to Cardiac Dysfunction and Apoptosis in Rats with Severe Experimental Pancreatitis through ROS-Mediated MAPK Signaling Pathway. Oxid Med Cell Longev. 2019 May 9;2019:4578175.  WB ;  Rat.  
    PubMed:31210840
    [IF=0] Jiang S et al. Inhibitory Effect of Slit2-N on VEGF165-induced proliferation of vascular endothelia via Slit2-N-Robo4-Akt pathway in choroidal neovascularization. Cell Cycle. 2019 Jun;18(11):1241-1253.   WB ;  Human.  
    PubMed:31081721
    [IF=] Li T et al. Withanolides, extracted from Datura metel L. inhibit keratinocyte proliferation and imiquimod- induced psoriasis-like dermatitis via the STAT3/P38/ERK1/2 pathway. Molecules. 2019 Jul 17;24(14). pii: E2596.   WB ;  Human.  
    PubMed:31319488
    [IF=] Luo P et al. IL-37b alleviates inflammation in the temporomandibular joint cartilage via IL-1R8 pathway. Cell Prolif. 2019 Sep 27:e12692.   WB ;  Human.  
    PubMed:31560411
    [IF=3.266] Ma Q et al. Vitamin B5 inhibit RANKL induced osteoclastogenesis and ovariectomy induced osteoporosis by scavenging ROS generation. Am J Transl Res. 2019 Aug 15;11(8):5008-5018. eCollection 2019.  WB ;  Mouse.  
    PubMed:31497217
    [IF=2.926] Wang M et al. Expression and localization of the small proteoglycans decorin and biglycan in articular cartilage of Kashin-Beck disease and rats induced by T-2 toxin and selenium deficiency. Glycoconj J. 2019 Sep 2.   WB ;  Human.  
    PubMed:31478096
    [IF=1.851] Duan X et al. Expression of TIGIT/CD155 and correlations with clinical pathological features in human hepatocellular carcinoma. Mol Med Rep. 2019 Oct;20(4):3773-3781.   WB ;  Human.  
    PubMed:31485637
    [IF=.607] Yang F et al. Effect of Bone Morphogenetic Protein 6 (BMP6) on Chicken Granulose Cells Proliferation and Progesterone Synthesis. Brazilian Journal of Poultry Science.2019 Feb.  WB ;  Chicken.  
    PubMed:doi:10.1590/1806-9061-2018-0835
    产品类型 内参抗体 
    研究领域 免疫学  
    抗体来源 Rabbit
    克隆类型 Polyclonal
    交叉反应 Human, Mouse, Rat, Rabbit, 
    产品应用 WB=1:2000-10000 IHC-P=1:100-500 IHC-F=1:100-500 IF=1:100-500 (石蜡切片需做抗原修复)
    not yet tested in other applications.
    optimal dilutions/concentrations should be determined by the end user.
    分 子 量 37kDa
    细胞定位 细胞核 细胞浆 细胞膜 
    性    状 Liquid
    浓    度 1mg/ml
    免 疫 原 GAPDH protein of rabbit: 
    亚    型 IgG
    纯化方法 affinity purified by Protein A
    储 存 液 0.01M TBS(pH7.4) with 1% BSA, 0.03% Proclin300 and 50% Glycerol.
    保存条件 Shipped at 4℃. Store at -20 °C for one year. Avoid repeated freeze/thaw cycles.
    PubMed PubMed
    产品介绍 Glyceraldehyde 3 phosphate dehydrogenase (GAPDH) is well known as one of the key enzymes involved in glycolysis. As well as functioning as a glycolytic enzyme in cytoplasm, recent evidence suggests that mammalian GAPDH is also involved in a great number of intracellular proceses such as membrane fusion, microtubule bundling, phosphotransferase activity, nuclear RNA export, DNA replication, and DNA repair. During the last decade a lot of data appeared concerning the role of GAPDH in different pathologies including prostate cancer progression, programmed neuronal cell death, age related neuronal diseases, such as Alzheimer's and Huntington's disease. GAPDH is expressed in all cells. It is constitutively expressed in almost all tissues at high levels. There are however some physiological factors such as hypoxia and diabetes that increase GAPDH expression in certain cell types. GAPDH molecule is composed of four 38kDa subunits.

    Function:
    Has both glyceraldehyde-3-phosphate dehydrogenase and nitrosylase activities, thereby playing a role in glycolysis and nuclear functions, respectively. Participates in nuclear events including transcription, RNA transport, DNA replication and apoptosis. Nuclear functions are probably due to the nitrosylase activity that mediates cysteine S-nitrosylation of nuclear target proteins such as SIRT1, HDAC2 and PRKDC. Glyceraldehyde-3-phosphate dehydrogenase is a key enzyme in glycolysis that catalyzes the first step of the pathway by converting D-glyceraldehyde 3-phosphate (G3P) into 3-phospho-D-glyceroyl phosphate.

    Subunit:
    Homotetramer. Interacts with TPPP; the interaction is direct. Interacts (when S-nitrosylated) with SIAH1; leading to nuclear translocation. Interacts with RILPL1/GOSPEL, leading to prevent the interaction between GAPDH and SIAH1 and prevent nuclear translocation. Interacts with EIF1AD, USP25, PRKCI and WARS.

    Subcellular Location:
    Cytoplasm, cytosol. Nucleus. Cytoplasm, perinuclear region. Membrane. Note=Translocates to the nucleus following S-nitrosylation and interaction with SIAH1, which contains a nuclear localization signal. Postnuclear and Perinuclear regions.

    Post-translational modifications:
    S-nitrosylation of Cys-152 leads to interaction with SIAH1, followed by translocation to the nucleus.
    ISGylated (Probable).
    Sulfhydration at Cys-152 increases catalytic activity.

    Similarity:
    Belongs to the glyceraldehyde-3-phosphate dehydrogenase family.

    SWISS:
    P04406

    Gene ID:
    100009074

    Database links:

    Entrez Gene: 493876 Cat

    Entrez Gene: 374193 Chicken

    Entrez Gene: 403755 Dog

    Entrez Gene: 2597 Human

    Entrez Gene: 100042025 Mouse

    Entrez Gene: 14433 Mouse

    Entrez Gene: 396823 Pig

    Entrez Gene: 100009074 Rabbit

    Entrez Gene: 24383 Rat

    Entrez Gene: 685186 Rat

    Entrez Gene: 380259 Xenopus laevis

    Entrez Gene: 448356 Xenopus tropicalis

    Entrez Gene: 317743 Zebrafish

    Omim: 138400 Human

    SwissProt: Cat

    SwissProt: P00356 Chicken

    SwissProt: Q28259 Dog

    SwissProt: P70685 Guinea pig

    SwissProt: P04406 Human

    SwissProt: P16858 Mouse

    SwissProt: P00355 Pig

    SwissProt: P46406 Rabbit

    SwissProt: P04797 Rat

    SwissProt: P51469 Xenopus laevis

    SwissProt: Q5XJ10 Zebrafish

    Unigene: 544577 Human

    Unigene: 592355 Human

    Unigene: 598320 Human

    Unigene: 304088 Mouse

    Unigene: 309092 Mouse

    Unigene: 317779 Mouse

    Unigene: 343110 Mouse

    Unigene: 392463 Mouse

    Unigene: 392480 Mouse

    Unigene: 414470 Mouse

    Unigene: 458138 Mouse

    Unigene: 458416 Mouse

    Unigene: 475698 Mouse

    Unigene: 129558 Rat

    Unigene: 91450 Rat

    Unigene: 995 Xenopus laevis

    Unigene: 35640 Zebrafish



    Important Note:
    This product as supplied is intended for research use only, not for use in human, therapeutic or diagnostic applications.

    甘油醛-3-磷酸脱氢酶(Glyceraldehyde 3 phosphate dehydrogenase,GAPDH)是糖酵解(glycolysis)过程中的关键酶。除了在胞质中作为糖酵解的酶以外,有证据表明哺乳动物细胞中的GAPDH参与了多种胞内生化过程,包括膜融合(membrane fusion)、微管成束(microtubule bundling)、磷酸转移酶(phosphotransferase)激活、核内RNA出核、DNA复制与DNA修复。一些生理因素,诸如低氧(hypoxia)和尿糖(diabetes),可以增加GAPDH在特定细胞中的表达。GAPDH存在于几乎所有的组织中,以高水平持续表达。 GAPDH(甘油醛-3-磷酸脱氢酶)是参与糖酵解的一种关键酶,由4个30-40kDa的亚基组成。
    产品图片
    Sample:
    U251(Human) Cell Lysate at 30 ug
    Primary: Anti-GAPDH (bs-2188R) at 1/300 dilution
    Secondary: IRDye800CW Goat Anti-Rabbit IgG at 1/20000 dilution
    Predicted band size: 37 kD
    Observed band size: 37 kD
    Sample:
    Hela Cell (Human) Lysate at 40 ug
    MCF-7 Cell (Human) Lysate at 40 ug
    Primary: Anti- GAPDH (bs-2188R) at 1/300 dilution
    Secondary: IRDye800CW Goat Anti-Rabbit IgG at 1/20000 dilution
    Predicted band size: 37 kD
    Observed band size: 37 kD
    Sample:
    A549(Human) Cell Lysate at 30 ug
    U2os(Human) Cell Lysate at 30 ug
    Molt-4(Human) Cell Lysate at 30 ug
    A431(Human) Cell Lysate at 30 ug
    Primary: Anti-GAPDH (bs-2188R) at 1/2000 dilution
    Secondary: IRDye800CW Goat Anti-Rabbit IgG at 1/20000 dilution
    Predicted band size: 37 kD
    Observed band size: 37 kD
    Sample:
    Heart (Rat) Lysate at 40 ug
    Cerebrum (Rat) Lysate at 40 ug
    Liver (Mouse) Lysate at 40 ug
    Primary: Anti- GAPDH (bs-2188R) at 1/1000 dilution
    Secondary: IRDye800CW Goat Anti-Rabbit IgG at 1/20000 dilution
    Predicted band size: 37 kD
    Observed band size: 35 kD
    Sample:
    Liver(Rat) Lysate at 40 ug
    Primary: Anti-GAPDH (bs-2188R) at 1/1000 dilution
    Secondary: IRDye800CW Goat Anti-Rabbit IgG at 1/20000 dilution
    Predicted band size: 37 kD
    Observed band size: 35 kD
    Sample:
    Kidney (Mouse) Lysate at 40 ug
    Primary: Anti-GAPDH (bs-2188R) at 1/1000 dilution
    Secondary: IRDye800CW Goat Anti-Rabbit IgG at 1/20000 dilution
    Predicted band size: 37 kD
    Observed band size: 35 kD
    Sample:
    Muscle (Rat) Lysate at 40 ug
    Heart (Rat) Lysate at 40 ug
    Primary: Anti- GAPDH (bs-2188R) at 1/300 dilution
    Secondary: IRDye800CW Goat Anti-Rabbit IgG at 1/20000 dilution
    Predicted band size: 37 kD
    Observed band size: 37 kD
    Sample:
    Lane 1: NIH/3T3(Mouse) Cell Lysate at 30 ug
    Lane 2: Cerebrum (Mouse) Lysate at 40 ug
    Lane 3: Cerebrum (Rat) Lysate at 40 ug
    Lane 4: HUVEC (Human) Cell Lysate at 30 ug
    Lane 5: A549 (Human) Cell Lysate at 30 ug
    Lane 6: MCF-7 (Human) Cell Lysate at 30 ug
    Primary: Anti-GAPDH (bs-2188R) at 1/1000 dilution
    Secondary: IRDye800CW Goat Anti-Rabbit IgG at 1/20000 dilution
    Predicted band size: 37 kD
    Observed band size: 37 kD
    Sample:
    U251(Human) Cell Lysate at 30 ug
    Hela(Human) Cell Lysate at 30 ug
    MCF-7(Human) Cell Lysate at 30 ug
    Primary: Anti-GAPDH (bs-2188R) at 1/1000 dilution
    Secondary: IRDye800CW Goat Anti-Rabbit IgG at 1/20000 dilution
    Predicted band size: 37 kD
    Observed band size: 37 kD
    Paraformaldehyde-fixed, paraffin embedded (Mouse brain); Antigen retrieval by boiling in sodium citrate buffer (pH6.0) for 15min; Block endogenous peroxidase by 3% hydrogen peroxide for 20 minutes; Blocking buffer (normal goat serum) at 37°C for 30min; Antibody incubation with (GAPDH) Polyclonal Antibody, Unconjugated (bs-2188R) at 1:400 overnight at 4°C, followed by operating according to SP Kit(Rabbit) (sp-0023) instructionsand DAB staining.
    Paraformaldehyde-fixed, paraffin embedded (mouse brain); Antigen retrieval by boiling in sodium citrate buffer (pH6.0) for 15min; Block endogenous peroxidase by 3% hydrogen peroxide for 20 minutes; Blocking buffer (normal goat serum) at 37°C for 30min; Antibody incubation with (GAPDH (Loading Control)) Polyclonal Antibody, Unconjugated (bs-2188R) at 1:200 overnight at 4°C, followed by operating according to SP Kit(Rabbit) (sp-0023) instructionsand DAB staining.
    Paraformaldehyde-fixed, paraffin embedded (rat brain); Antigen retrieval by boiling in sodium citrate buffer (pH6.0) for 15min; Block endogenous peroxidase by 3% hydrogen peroxide for 20 minutes; Blocking buffer (normal goat serum) at 37°C for 30min; Antibody incubation with (GAPDH (Loading Control)) Polyclonal Antibody, Unconjugated (bs-2188R) at 1:200 overnight at 4°C, followed by operating according to SP Kit(Rabbit) (sp-0023) instructionsand DAB staining.
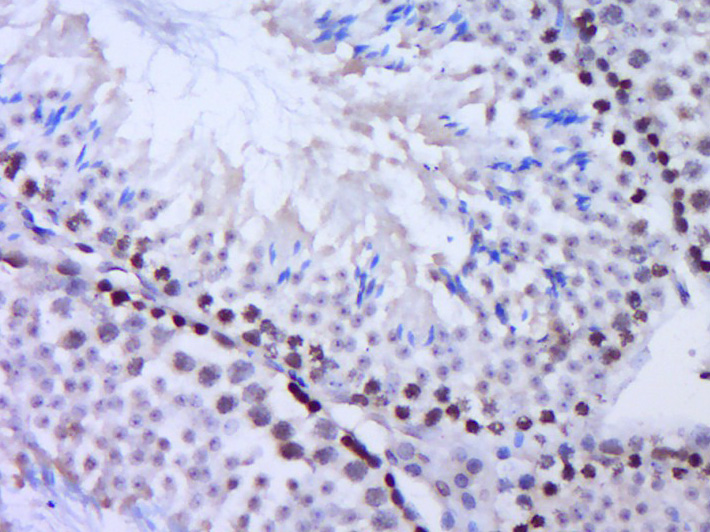
    Paraformaldehyde-fixed, paraffin embedded (Mouse testis); Antigen retrieval by boiling in sodium citrate buffer (pH6.0) for 15min; Block endogenous peroxidase by 3% hydrogen peroxide for 20 minutes; Blocking buffer (normal goat serum) at 37°C for 30min; Antibody incubation with (GAPDH) Polyclonal Antibody, Unconjugated (bs-2188R) at 1:400 overnight at 4°C, followed by operating according to SP Kit(Rabbit) (sp-0023) instructionsand DAB staining.
    Tissue/cell: rat brain tissue; 4% Paraformaldehyde-fixed and paraffin-embedded;
    Antigen retrieval: citrate buffer ( 0.01M, pH 6.0 ), Boiling bathing for 15min; Block endogenous peroxidase by 3% Hydrogen peroxide for 30min; Blocking buffer (normal goat serum,C-0005) at 37℃ for 20 min;
    Incubation: Anti-GAPDH Polyclonal Antibody, Unconjugated(bs-2188R) 1:200, overnight at 4°C, followed by conjugation to the secondary antibody(SP-0023) and DAB(C-0010) staining
    Tissue/cell: human lung carcinoma; 4% Paraformaldehyde-fixed and paraffin-embedded;
    Antigen retrieval: citrate buffer ( 0.01M, pH 6.0 ), Boiling bathing for 15min; Block endogenous peroxidase by 3% Hydrogen peroxide for 30min; Blocking buffer (normal goat serum,C-0005) at 37℃ for 20 min;
    Incubation: Anti-GAPDH Polyclonal Antibody, Unconjugated(bs-2188R) 1:200, overnight at 4°C, followed by conjugation to the secondary antibody(SP-0023) and DAB(C-0010) staining

    十二烷基磺酸钠与十二烷基硫酸钠的区别
    实验室中的化学试剂的防护之十二烷基硫酸钠
    十二烷基硫酸钠(SDS)的生物应用
    十二烷基硫酸钠 SDS说明书暂时没有说明书
    1.《Multifunction Sr, Co and F co-doped microporous coating on titanium of antibacterial, angiogenic and osteogenic activities》
    作者:Jianhong Zhou ,Lingzhou Zhao 影响因子:4.259
    期刊:《Scientific Reports 6, Article number: 29069 (2016)》 PMID:27353337

    用户名:   (可为空)
    E-mail:   *(必填)
    评价等级:
    评论内容:   *(必填)

    客服电话:020-29828232

    免费包邮:在线下单500免邮

    在线客服:在线贴心服务

    促销精品:享受优惠及礼品

    热门品牌

    • Procell/普诺赛
    • ECOTOP/亿涛
    • Bioss/博奥森
    • NEST/耐思
    • Solarbio/索莱宝

    推荐品牌

    • NCM/新赛美
    • Aomabio/奥玛
    • GLPBIO
    • ABW
    • ExcellBio/依科赛

    产品与服务

    • 试剂: 小分子化合物、bioss试剂、检测类试剂、 查看更多 ...
    • 耗材: 血球计数板、离心管系列、冷冻类耗材、 查看更多 ...
    • 仪器: 移液器(Pipette)、分子生物实验仪器、实验室常规仪器设备、 查看更多 ...
    • 抗体类: 蛋白因子、试剂盒、二抗、 查看更多 ...

    联系方式

    通过以下方式与我们保持联系!

    通信地址: 广州市天河区高普路85号金发科技园6号楼437室

    热线电话: 020-29828232

    手机号码: 13926420120

    销售邮箱: 1335416497@gq.com

    销售QQ: 1335416497

    微信订阅号
    赛国生物客服电话

    Copyright © 2026-2027 广州赛国生物科技有限公司. 版权所有. www.saiguotech.com     学智网站制作